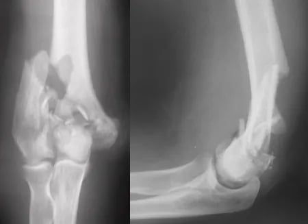
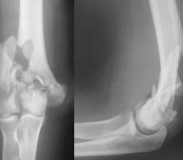
Fratura Distal do Úmero
O úmero, o osso do braço, articula-se com a ulna e o rádio no cotovelo. As fraturas da porção distal do úmero costumam ocorrer após queda ao solo. Esta é a fratura mais grave dentre as que podem acometer o cotovelo.
TRAUMAS NO COTOVELO
Dr. Leonardo Maia
1/17/20261 min read


Dr. Leonardo Maia | Ombro e Cotovelo
Ortopedista e Traumatologista | RQE: 33198 | CRM-MG: 51951 | TEOT: 14303
Especialista em Cirurgia do Ombro e Cotovelo
Todos os direitos reservados © Dr. Leonardo Maia - Desenvolvido pela Camaleão Branding