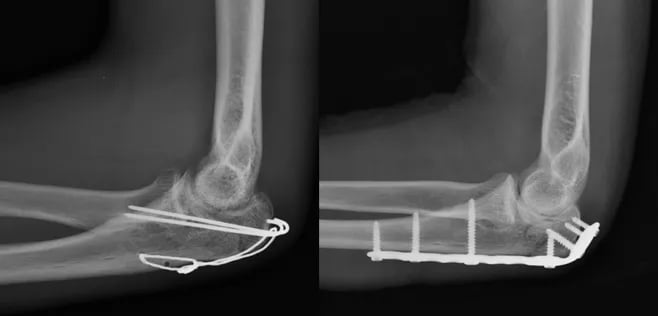
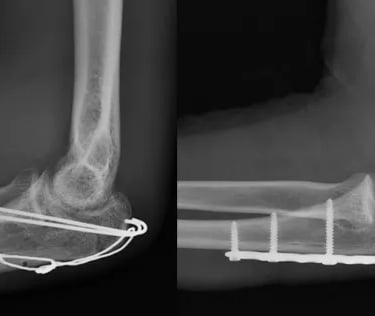
Fratura do Olécrano
O olécrano é uma parte da ulna, um dos ossos do antebraço. Ele se articula com o úmero no cotovelo. As fraturas desse local costumam ocorrer após queda sobre a mão ou traumas diretos sobre o cotovelo.
TRAUMAS NO COTOVELO
Dr. Leonardo Maia
1/17/20261 min read


Escreva aqui o conteúdo do post
Dr. Leonardo Maia | Ombro e Cotovelo
Ortopedista e Traumatologista | RQE: 33198 | CRM-MG: 51951 | TEOT: 14303
Especialista em Cirurgia do Ombro e Cotovelo
Todos os direitos reservados © Dr. Leonardo Maia - Desenvolvido pela Camaleão Branding