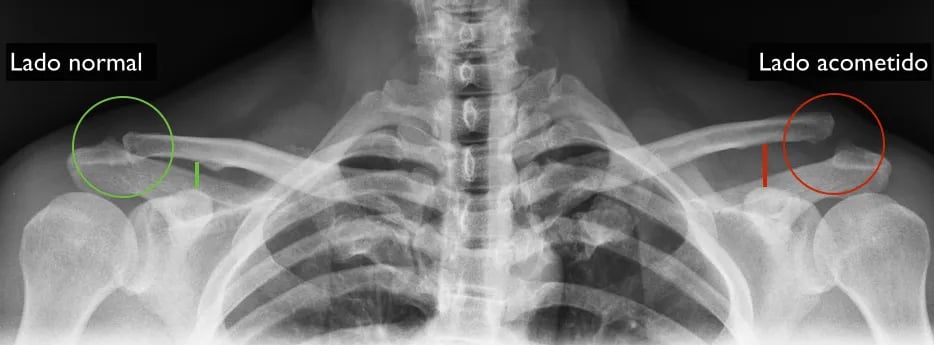
Luxação Acromioclavicular
Luxação acromioclavicular é a perda de congruência entre a clavícula e o acrômio. Essa articulação é estabilizada por um ligamentos entre a clavícula e o acrômio e ligamentos entre o coracoide e a clavícula, que podem ser rompidos em traumas, em especial quedas sobre o ombro, causando a luxação acromioclavicular (LAC).
TRAUMAS NO OMBRO
Dr. Leonardo Maia
1/17/20261 min read


Dr. Leonardo Maia | Ombro e Cotovelo
Ortopedista e Traumatologista | RQE: 33198 | CRM-MG: 51951 | TEOT: 14303
Especialista em Cirurgia do Ombro e Cotovelo
Todos os direitos reservados © Dr. Leonardo Maia - Desenvolvido pela Camaleão Branding